第65回午後 臨床検査技師国家試験 【本番形式問題演習】

当ページのリンクには広告が含まれています。

第65回午後 臨床検査技師国家試験 【本番形式問題演習】

1 / 100

第65回 PM1
全血を室温で放置した場合、時間とともに低下するのはどれか。

2 / 100

第65回 PM2
試験紙法で尿蛋白が陽性のとき原因として誤っているのはどれか。

3 / 100

第65回 PM3
昆虫で媒介されないのはどれか。

4 / 100

第65回 PM4
真核生物の rRNA でないのはどれか。

5 / 100

第65回 PM5
ベッドのシーツに付着していた虫体(体長 0.4 mm)の写真(別冊No. 1)を別に示す。この虫が引き起こすのはどれか。

No. 1

6 / 100

第65回 PM6
健常者の脳脊髄液中の値が新生児で成人より高いのはどれか。

7 / 100

第65回 PM7
腹水検査で滲出液を示唆する所見はどれか。

8 / 100

第65回 PM8
蛋白漏出性胃腸症の診断に有用な糞便検査はどれか。

9 / 100

第65回 PM9
PCR 産物のアガロースゲル電気泳動で非特異的なバンドが見られた場合、対応法として試みるべきなのはどれか。

10 / 100

第65回 PM10
ヒトの減数分裂の接合期に生じる染色体の変化で正しいのはどれか。

11 / 100

第65回 PM11
高尿酸血症について正しいのはどれか。

12 / 100

第65回 PM12
急性心筋梗塞の診断に用いられないのはどれか。

13 / 100

第65回 PM13
疾患と検査所見の組合せで正しいのはどれか。

14 / 100

第65回 PM14
性染色体異常を伴うのはどれか。2つ選べ。

15 / 100

第65回 PM15
自己免疫疾患でないのはどれか。

16 / 100

第65回 PM16
心電図の波形とその成り立ちの組合せで正しいのはどれか。

17 / 100

第65回 PM17
心電図(別冊No. 2)を別に示す。梗塞部位はどれか。

No. 2

18 / 100

第65回 PM18
Holter 心電図検査で正しいのはどれか。2つ選べ。

19 / 100

第65回 PM19
脈波伝播速度〈PWV〉で正しいのはどれか。

20 / 100

第65回 PM20
検査項目と測定方法の組合せで正しいのはどれか。2つ選べ。

21 / 100

第65回 PM21
フローボリューム曲線(別冊No. 3)を別に示す。肺線維症はどれか。

No. 3

22 / 100

第65回 PM22
生体内の平均的な音速[m/s]に最も近いのはどれか。

23 / 100

第65回 PM23
健常成人の超音波検査で得られた腹部の B モード像(別冊No. 4)を別に示す。矢印で示すのは何か。

No. 4

24 / 100

第65回 PM24
健常女性の骨盤腔超音波検査で最も背側に観察されるのはどれか。

25 / 100

第65回 PM25
超音波検査で体表からの観察に用いる周波数が最も低い探触子を使用する臓器はどれか。

26 / 100

第65回 PM26
甲状腺右葉の超音波 B モード像(a)及びパワードプラ像(b)(別冊No. 5)を別に示す。最も考えられるのはどれか。

No. 5

27 / 100

第65回 PM27
単純糖尿病網膜症にみられない眼底所見はどれか。

28 / 100

第65回 PM28
針筋電図検査の対象とならない病態はどれか。

29 / 100

第65回 PM29
血清遊離脂肪酸が低下するのはどれか。

30 / 100

第65回 PM30
グリセロリン脂質でないのはどれか。

31 / 100

第65回 PM31
脂質異常症の WHO 分類とその原因の組合せで正しいのはどれか。

32 / 100

第65回 PM32
日本臨床化学会〈JSCC〉勧告法による血清 CK 活性測定において、反応液中のD-グルコースが 分間あたり 0.9 mg 反応した。この血清の CK 活性[U/L]はどれか。ただし、D-グルコースの分子量 180、血清量 10 μL、試薬量 290 μL とする。

※この問題は不適切問題です。選択肢の中に正解がありません。

33 / 100

第65回 PM33
血清総蛋白 5.0 g/dL、血清アルブミン 2.5 g/dL、尿蛋白 500 mg/dL であった。考えられるのはどれか。

34 / 100

第65回 PM34
酵素の国際単位の算出に必要ないのはどれか。

35 / 100

第65回 PM35
分光光度法において共存物質の影響試験の対象となるのはどれか。2つ選べ。

36 / 100

第65回 PM36
尿酸の酵素法試薬に含まれているのはどれか。2つ選べ。

37 / 100

第65回 PM37
日本臨床化学会〈JSCC〉勧告法で吸光度の減少から活性値を求めるのはどれか。2つ選べ。

38 / 100

第65回 PM38
水溶性ビタミンはどれか。

39 / 100

第65回 PM39
骨格筋でアンモニアが結合して生成するのはどれか。

40 / 100

第65回 PM40
骨形成マーカーはどれか。2つ選べ。

41 / 100

第65回 PM41
バゾプレシンが低下するのはどれか。

42 / 100

第65回 PM42
低栄養状態で高値を示すのはどれか。

43 / 100

第65回 PM43
糖タンパク質ホルモンはどれか。2つ選べ。

44 / 100

第65回 PM44
血漿レニン活性が低値を示すのはどれか。

45 / 100

第65回 PM45
分子標的薬投与の決定に HER2 を用いるのはどれか。

46 / 100

第65回 PM46
透過型電子顕微鏡標本作製法と試薬の組合せで正しいのはどれか。

47 / 100

第65回 PM47
細胞学的検査法で乾燥固定を行うのはどれか。2つ選べ。

48 / 100

第65回 PM48
ホルマリンについて誤っているのはどれか。

49 / 100

第65回 PM49
間質性肺炎の原因として誤っているのはどれか。

50 / 100

第65回 PM50
左心不全症例の肺の特殊染色標本(別冊No. 6)を別に示す。染色法はどれか。

No. 6

51 / 100

第65回 PM51
喀痰細胞診の Papanicolaou 染色標本(別冊No. 7)を別に示す。出現している細胞はどれか。

No. 7

52 / 100

第65回 PM52
病理解剖において臨床検査技師が実施できないのはどれか。

53 / 100

第65回 PM53
ホルムアルデヒドを含む固定液はどれか。

54 / 100

第65回 PM54
がん遺伝子はどれか。

55 / 100

第65回 PM55
脂質の染色法でないのはどれか。

56 / 100

第65回 PM56
肉芽腫性炎はどれか。

57 / 100

第65回 PM57
病理組織標本の偏光顕微鏡観察が有用なのはどれか。2つ選べ。

58 / 100

第65回 PM58
細胞診検体処理法のうち集細胞法でないのはどれか。

59 / 100

第65回 PM59
伝染性単核球症でみられる異型リンパ球の説明として正しいのはどれか。

60 / 100

第65回 PM60
血小板無力症で異常となるのはどれか。

61 / 100

第65回 PM61
赤血球の異常所見はどれか。2つ選べ。

62 / 100

第65回 PM62
細胞と表面抗原の組合せで誤っているのはどれか。

63 / 100

第65回 PM63
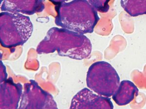
骨髄穿刺液の May-Giemsa 染色標本(別冊No. 8)を別に示す。考えられるのはどれか。

No. 8

64 / 100

第65回 PM64
抹消血の May-Giemsa 染色標本(別冊No. 9)を別に示す。考えられるのはどれか。

No. 9

65 / 100

第65回 PM65
骨髄穿刺液の May-Giemsa 染色標本(別冊No. 10)を別に示す。診断にあたり、ペルオキシダーゼ染色と合わせて必要となるのはどれか。

No. 10

66 / 100

第65回 PM66
血 算 で 赤 血 球 250 万/μL、Hb 5.0 g/dL、Ht 18%、白 血 球 3,500/μL、血 小 板40 万/μL であった。考えられるのはどれか。

67 / 100

第65回 PM67
ビタミン K 欠乏で異常を示すのはどれか。2つ選べ。

68 / 100

第65回 PM68
作用機序が細胞壁合成阻害によるのはどれか。2つ選べ。

69 / 100

第65回 PM69
蚊が媒介するのはどれか。

70 / 100

第65回 PM70
経口感染する肝炎ウイルスはどれか。2つ選べ。

71 / 100

第65回 PM71
染色法と目的菌の組合せで正しいのはどれか。2つ選べ。

72 / 100

第65回 PM72
下気道感染症患者の喀痰の Gram 染色標本(別冊No. 11)を別に示す。分離菌は5%ヒツジ血液寒天培地およびチョコレート寒天培地に発育した。推定されるのはどれか。

No. 11

73 / 100

第65回 PM73
血液培養陽性のボトル内容液から分離培養したコロニーの Gram 染色像(別冊No.12)を別に示す。Gram 染色では矢印で示す形態を示し、好気培養で発育せず、カタラーゼテスト陰性であった。推定されるのはどれか。

No.12

74 / 100

第65回 PM74
ウイルスと疾患の組合せで正しいのはどれか。2つ選べ。

75 / 100

第65回 PM75
プラスミドによる耐性遺伝子の伝播に該当するのはどれか。

76 / 100

第65回 PM76
Mycobacterium 属でⅠ群〈光発色菌群〉はどれか。

77 / 100

第65回 PM77
インフルエンザウイルスの主な感染経路はどれか。2つ選べ。

78 / 100

第65回 PM78
Pseudomonas aeruginosa で正しいのはどれか。

79 / 100

第65回 PM79
結核菌特異的全血インターフェロン γ 遊離測定法〈IGRA〉でサイトカインを産生する細胞はどれか。

80 / 100

第65回 PM80
腫瘍マーカーと対象となる腫瘍との組合せで誤っているのはどれか。

81 / 100

第65回 PM81
新生児の梅毒血清反応において先天梅毒を示唆する所見はどれか。

82 / 100

次の文を読み 82、83 の問いに答えよ。間接蛍光抗体法による抗核抗体検査所見(別冊No. 13)を別に示す。
第65回 PM82
この所見の染色パターンはどれか。

No. 13

83 / 100

次の文を読み 82、83 の問いに答えよ。間接蛍光抗体法による抗核抗体検査所見(別冊No. 13)を別に示す。
第65回 PM83
この所見を示す自己抗体はどれか。

No. 13

84 / 100

第65回 PM84
モノクローナル抗体作製法について正しいのはどれか。

85 / 100

第65回 PM85
細菌に対する自然免疫の機能で誤っているのはどれか。

86 / 100

第65回 PM86
健常成人の血清免疫電気泳動像(別冊No. 14)を別に示す。矢印が示す沈降線に相当するのはどれか。ただし、泳動像上部は写真、下部はその一部の模式図を示す。

No. 14

87 / 100

第65回 PM87
血液製剤の細菌汚染対策のために重要なのはどれか。

88 / 100

第65回 PM88
血液製剤のラベルの色と血液型の組合せで正しいのはどれか。

89 / 100

第65回 PM89
不規則抗体同定検査の間接抗グロブリン試験(試験管法)と直接抗グロブリン試験(試験管法)の両方に使用されるのはどれか。2つ選べ。

90 / 100

第65回 PM90
平成 29 年(2017 年)の日本の人口について正しいのはどれか。

91 / 100

第65回 PM91
国民生活基礎調査で報告されているのはどれか。2つ選べ。

92 / 100

第65回 PM92
職場の有害因子と生物学的モニタリングの尿中測定項目の組合せで誤っているのはどれか。

93 / 100

第65回 PM93
特定健康診査の必須項目はどれか。2つ選べ。

94 / 100

第65回 PM94
我が国の医療保険制度について正しいのはどれか。

95 / 100

第65回 PM95
アナログ信号のデジタル信号への変換において信号を一定の時間間隔で読み取ることを示すのはどれか。

96 / 100

第65回 PM96
磁場を検出できるのはどれか。2つ選べ。

97 / 100

第65回 PM97
DNA の塩基を A、C、G、T の4種類で表すとき、連続した塩基3個の配列で表現できる最大の情報量はどれか。

98 / 100

第65回 PM98
定義済み処理を表すフローチャート記号はどれか。

99 / 100

第65回 PM99
臨床検査情報の一次利用はどれか。

100 / 100

第65回 PM100
純水製造法で、イオン交換法が逆浸透法より効率的に除去できる物質はどれか。

あなたのスコアは

0%

出典:厚生労働省ホームページ
第65回臨床検査技師国家試験問題および正答について
https://www.mhlw.go.jp/seisakunitsuite/bunya/kenkou_iryou/iryou/topics/tp190415-07.html

目次

解説リンク

PM11、36の関連問題はPM11、36の関連問題はこちらを参照

PM53の関連問題はPM47、53の関連問題はこちらを参照

よかったらシェアしてね!
  • URLをコピーしました!
  • URLをコピーしました!

この記事を書いた人

目次