第63回午前 臨床検査技師国家試験 【本番形式問題演習】

当ページのリンクには広告が含まれています。

第63回午前 臨床検査技師国家試験 【本番形式問題演習】

1 / 100

第63回 AM1
臨床検査技師が単独で行うことができるのはどれか。2つ選べ。

2 / 100

第63回 AM2
許容誤差限界(CV%)を求める Tonks の式を示す。(①)内の数値として正しいのはどれか。

3 / 100

第63回 AM3
健常成人男性の1日平均原尿量(糸球体濾過量)に最も近い値[L]はどれか。

4 / 100

第63回 AM4
尿沈渣に見られた結晶(別冊No. 1)を別に示す。考えられるのはどれか。

No. 1

5 / 100

第63回 AM5
免疫学的便潜血検査で正しいのはどれか。

6 / 100

第63回 AM6
肝吸虫症の対策として正しいのはどれか。2つ選べ。

7 / 100

第63回 AM7
皮膚に付着していた虫体(体長 2.5 mm)の写真(別冊No. 2)を別に示す。この虫が引き起こすのはどれか。

No. 2

8 / 100

第63回 AM8
糞便検査で虫卵が検出されるのはどれか。2つ選べ。

9 / 100

第63回 AM9
遺伝子の変異原と人体への影響の組合せで最も関連の深いのはどれか。

10 / 100

第63回 AM10
遺伝子検査法とその目的の組合せで誤っているのはどれか。

11 / 100

第63回 AM11
患者が訴える症状として誤っているのはどれか。

12 / 100

第63回 AM12
市中肺炎の原因菌でないのはどれか。

13 / 100

第63回 AM13
Ⅲ型高脂血症として正しいのはどれか。

14 / 100

第63回 AM14
ヘリコバクター・ピロリ感染症の検査の検体として誤っているのはどれか。

15 / 100

第63回 AM15
尿試験紙法の検査でビタミン C 服用者の検体で偽陰性となるのはどれか。

16 / 100

第63回 AM16
健常成人の心内圧で 80 mmHg を超えるのはどれか。

17 / 100

第63回 AM17
心電図で V1 の R 波が増高する心筋梗塞の部位はどれか。

18 / 100

第63回 AM18
Holter 心電図(別冊No. 3)を別に示す。正しいのはどれか。

No. 3

19 / 100

第63回 AM19
血流依存性血管拡張反応〈FMD〉で血管内皮から放出されるのはどれか。

20 / 100

第63回 AM20
スパイログラム(別冊No. 4)を別に示す。A が示すのはどれか。

No. 4

21 / 100

第63回 AM21
フローボリューム曲線(別冊No. 5)を別に示す。考えられるのはどれか。

No. 5

22 / 100

第63回 AM22
顔面神経の起始部はどれか。

23 / 100

第63回 AM23
脳波賦活法として誤っているのはどれか。

24 / 100

第63回 AM24
病態と脳波所見の組合せで誤っているのはどれか。

25 / 100

第63回 AM25
軸索変性時の複合筋活動電位の変化として特徴的なのはどれか。

26 / 100

第63回 AM26
心臓の胸骨左縁長軸像におけるカラードプラ像(別冊No. 6)を別に示す。矢印に認められる所見はどれか。

No. 6

27 / 100

第63回 AM27
頸動脈の超音波検査において動脈硬化症の患者でみられやすいのはどれか。2つ選べ。

28 / 100

第63回 AM28
下腹部正中横走査による男性の骨盤腔の超音波像(別冊No. 7)を別に示す。矢印で示すのはどれか。

No. 7

29 / 100

第63回 AM29
生体の微量成分元素はどれか。2つ選べ。

30 / 100

第63回 AM30
ポイント法で第2試薬反応後の吸光度 0.100 を検体盲検補正すると 0.095 であった。この検体の第試薬反応後の吸光度はどれか。ただし、検体量は 10 μL、第1試薬量は 240 μL、第2試薬量は 50 μL とする。

31 / 100

第63回 AM31
Michaelis-Menten 式の初速度分析法で測定可能なのはどれか。

32 / 100

第63回 AM32
アニオンギャップの計算に用いるイオンはどれか。2つ選べ。

33 / 100

第63回 AM33
サルコイドーシス患者の血清で高値を示すのはどれか。

34 / 100

第63回 AM34
糖新生を行うのはどれか。

35 / 100

第63回 AM35
リポ蛋白の主要な構成成分でないのはどれか。

36 / 100

第63回 AM36
アポ A1 を含有するリポ蛋白はどれか。2つ選べ。

37 / 100

第63回 AM37
血清蛋白電気泳動でα₂分画の蛋白質はどれか。2つ選べ。

38 / 100

第63回 AM38
血清にウレアーゼを反応させたところ 17 mg/dL のアンモニアが生じた。この血清中の尿素窒素濃度[mg/dL]はどれか。ただし、アンモニア〈NH3〉の分子量を 17、尿素〈(NH2)2CO〉の分子量を 60 とする。

39 / 100

第63回 AM39
直接ビリルビンが上昇するのはどれか。

40 / 100

第63回 AM40
LD アイソザイムで1、2型優位なのはどれか。2つ選べ。

41 / 100

第63回 AM41
骨芽細胞の増殖で血中濃度が上昇するのはどれか。

42 / 100

第63回 AM42
Addison 病で高値を示すのはどれか。2つ選べ。

43 / 100

第63回 AM43
間質性肺炎のマーカーはどれか。

44 / 100

第63回 AM44
ミトコンドリア分画にアイソザイムが存在するのはどれか。

45 / 100

第63回 AM45
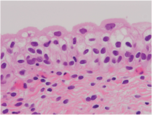
H-E 染色標本(別冊No. 8)を別に示す。臓器はどれか。

No. 8

46 / 100

第63回 AM46
萎縮するのはどれか。

47 / 100

第63回 AM47
膵癌で正しいのはどれか。

48 / 100

第63回 AM48
大腸癌で正しいのはどれか。

49 / 100

第63回 AM49
中和操作を要する脱灰法・脱灰液はどれか。2つ選べ。

50 / 100

第63回 AM50
ミクロトームの刀台で行う操作はどれか。2つ選べ。

51 / 100

第63回 AM51
術中迅速組織標本作製法で正しいのはどれか。

52 / 100

第63回 AM52
大腸癌の特殊染色標本(別冊No. 9)を別に示す。この染色法が目的とする対象はどれか。

No. 9

53 / 100

第63回 AM53
腎臓の特殊染色標本(別冊No. 10)を別に示す。染色法はどれか。

No. 10

54 / 100

第63回 AM54
免疫組織化学的マーカーと疾患の組合せで正しいのはどれか。

55 / 100

第63回 AM55
膵臓の透過型電子顕微鏡写真(別冊No. 11)を別に示す。矢印で示すのはどれか。

No. 11

56 / 100

第63回 AM56
悪性腫瘍細胞の特徴はどれか。

57 / 100

第63回 AM57
Papanicolaou 染色標本における扁平上皮癌の細胞学的特徴はどれか。

58 / 100

第63回 AM58
病理解剖時に摘出された臓器の肉眼写真(別冊No. 12)を別に示す。臓器はどれか。

No. 12

59 / 100

第63回 AM59
腎臓で産生されるのはどれか。

60 / 100

第63回 AM60
活性化プロテイン C が失活させるのはどれか。

61 / 100

第63回 AM61
抹消血のフローサイトメトリでリンパ球ゲートを行い、抗 CD19-PE 標識抗体と抗 CD3-FITC 標識抗体で二重染色解析を行った。プロット図(別冊No. 13)を別に示す。T 細胞が現れる領域はどれか。

No. 13

62 / 100

第63回 AM62
ビタミン K 欠乏症でみられるのはどれか。

63 / 100

第63回 AM63
溶血性貧血で低下または減少するのはどれか。

64 / 100

第63回 AM64
Pappenheimer 小体の構成成分はどれか。

65 / 100

第63回 AM65
抹消血の Wright-Giemsa 染色標本(別冊No. 14)を別に示す。所見はどれか。

No. 14

66 / 100

第63回 AM66
DIC を合併しやすいのはどれか。

67 / 100

第63回 AM67
抹消血塗抹標本で好中球の核の過分葉がみられた貧血患者に検査すべき項目はどれか。

68 / 100

第63回 AM68
ウイルスで正しいのはどれか。

69 / 100

第63回 AM69
消毒用エタノールに対して抵抗性を示すのはどれか。2つ選べ。

70 / 100

第63回 AM70
細菌と選択培地の組合せで正しいのはどれか。2つ選べ。

71 / 100

第63回 AM71
Pseudomonas aeruginosa に対して抗菌力を有するのはどれか。

72 / 100

第63回 AM72
作用機序と抗菌薬の組合せで正しいのはどれか。

73 / 100

第63回 AM73
日和見感染症はどれか。

74 / 100

第63回 AM74
急性咽頭炎患者の咽頭粘液を5%ヒツジ血液寒天培地(左)とチョコレート寒天培地(右)の分画培地に接種し、35 ℃で 24 時間炭酸ガス培養を行った培地(別冊No.15)を別に示す。分離菌は、グラム陽性球菌、カタラーゼテスト陰性、Lancefieldの A 群抗原陽性であった。推定される菌種はどれか。

No.15

75 / 100

第63回 AM75
Legionella pneumophila で正しいのはどれか。2つ選べ。

76 / 100

第63回 AM76
Candida 属で仮性菌糸を形成しないのはどれか。

77 / 100

第63回 AM77
プリオン蛋白が病原因子となる疾患はどれか。2つ選べ。

78 / 100

第63回 AM78
Aspergillus fumigatus の模式図(別冊No. 16)を別に示す。矢印で示すのはどれか。

No. 16

79 / 100

第63回 AM79
免疫寛容の破綻が発症原因となる疾患はどれか。

80 / 100

第63回 AM80
免疫応答で正しいのはどれか。

81 / 100

第63回 AM81
補体で正しいのはどれか。

82 / 100

第63回 AM82
生ワクチンはどれか。

83 / 100

第63回 AM83
腫瘍細胞で特異的に産生されるのはどれか。

84 / 100

第63回 AM84
Ⅲ型アレルギー性疾患はどれか。

85 / 100

第63回 AM85
フローサイトメトリで正しいのはどれか。

86 / 100

第63回 AM86
ABO 式血液型判定で正しいのはどれか。2つ選べ。

87 / 100

第63回 AM87
患者と供血者の血液型の組合せで赤血球製剤の輸血によって急性溶血反応が起こるのはどれか。

88 / 100

第63回 AM88
血液製剤とその使用目的で正しいのはどれか。

89 / 100

第63回 AM89
直接抗グロブリン試験の目的はどれか。2つ選べ。

90 / 100

第63回 AM90
三次予防はどれか。2つ選べ。

91 / 100

第63回 AM91
平成 25 年(2013 年)国民生活基礎調査において 65 歳以上男性の要介護者等で介護が必要となった主な原因のうち最も多いのはどれか。

92 / 100

第63回 AM92
疾患あり 100 人、疾患なし 100 人の合計 200 人の集団に対し、スクリーニング検査を実施したところ、感度は 90%、特異度は 40%であった。2×2表で正しいのはどれか。

93 / 100

第63回 AM93
虚血性心疾患のリスクファクターでないのはどれか。

94 / 100

第63回 AM94
国直轄の衛生行政機関はどれか。

95 / 100

第63回 AM95
100 kΩ の抵抗器にもう1つの抵抗器を並列に接続し、それらの合成抵抗を 50kΩ としたい。接続すべき抵抗器の抵抗値[kΩ]はどれか。

96 / 100

第63回 AM96
図の回路で正しいのはどれか。

97 / 100

第63回 AM97
サーマルアレイ式記録器で誤っているのはどれか。

98 / 100

第63回 AM98
文字コードはどれか。

99 / 100

第63回 AM99
個人情報に該当しないのはどれか。

100 / 100

第63回 AM100
エチレンオキサイドガス滅菌の特徴はどれか。

あなたのスコアは

0%

出典:厚生労働省ホームページ
第63回臨床検査技師国家試験問題および正答についてhttps://www.mhlw.go.jp/seisakunitsuite/bunya/kenkou_iryou/iryou/topics/tp170425-07.html

目次

解説リンク

よかったらシェアしてね!
  • URLをコピーしました!
  • URLをコピーしました!

この記事を書いた人

目次